Inicio
Quiénes Somos
Nuestros servicios
Casos clínicos
Preguntas frecuentes
Blog
Contáctenos
Inicio
Quiénes Somos
Nuestros servicios
Casos clínicos
Preguntas frecuentes
Blog
Contáctenos
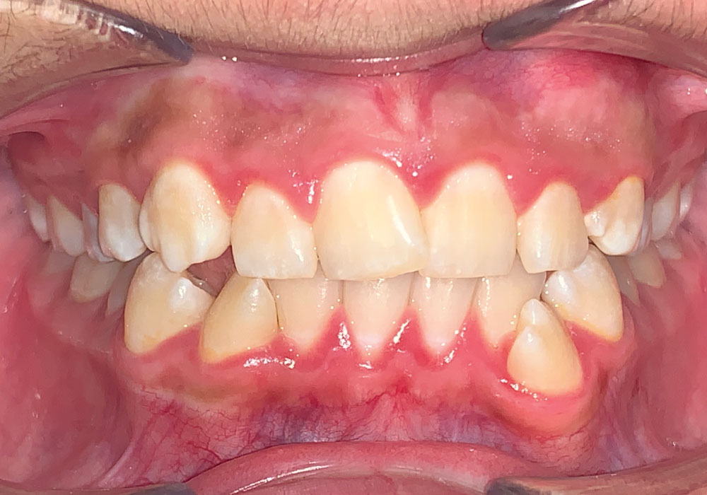
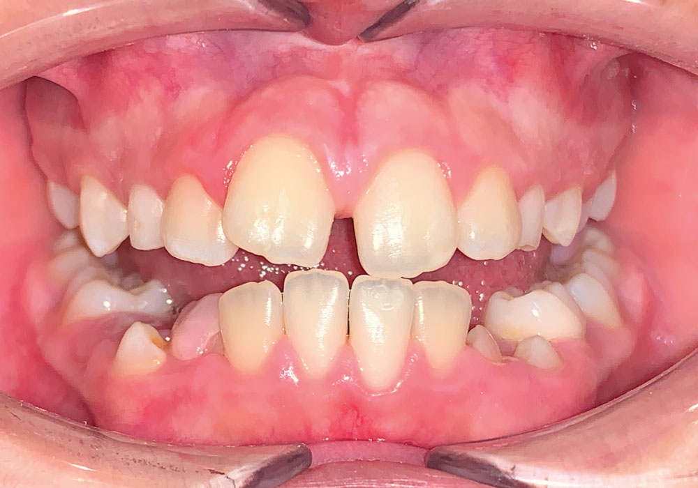
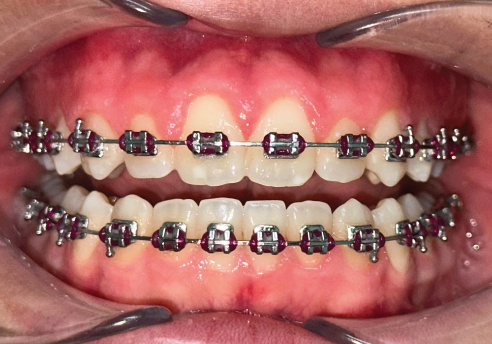
Casos clínicos
Algunos de nuestros pacientes
Sonrisas que transforman vidas
Descubrí algunos de nuestros casos de éxito y cómo hemos ayudado a nuestros pacientes a recuperar la confianza y la salud dental.
Whatsapp
Español
English
Español