
¿Qué es el bruxismo?
El bruxismo es el habito involuntario de apretar o rechinar los dientes, esto puede ser en la noche o en el día. Es un problema y producirse con suficiente frecuencia como para derivar en dolor de mandíbula, dolores de cabeza, daños en los dientes y otros problemas como interrumpir el sueño de la persona con la que se duerme, esto por el ruido que causa.



Detectar el bruxismo a tiempo es clave para evitar mayores complicaciones en el futuro, a veces puede parecer inofensivo, pero con frecuencia, puede afectar muchísimo. Algunas afecciones son:
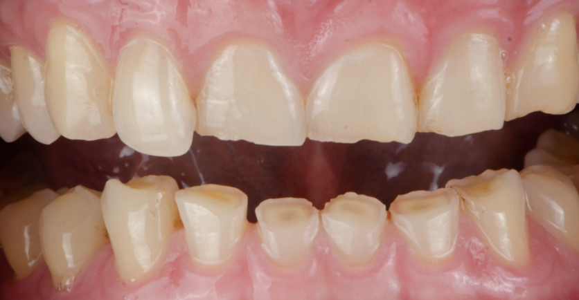
- Problemas dentales varios: dientes planos, quebrados y flojos.
- Dolor y sensibilidad dental: debido al desgaste de los dientes.
- Dolor y molestia en la mandíbula: cansancio y dolor en la mandíbula.
- Dolores de cabeza: dolor que puede comenzar en el oído, sien o frente.
- Problemas para dormir: por el roce constante y la tensión en la mandíbula.
Como vimos, es la puerta a muchas molestias que parecen ser invisibles, pero tarde o temprano se manifiestan.
Causas del bruxismo
No se comprende completamente qué causa el bruxismo. Puede deberse a una combinación de factores físicos, de la salud mental y genéticos.
- El bruxismo diurno puede deberse a emociones como ansiedad, estrés, ira, frustración o tensión. El bruxismo también puede ser una estrategia del cuerpo o un hábito cuando estás concentrado o pensando profundamente.
- El bruxismo nocturno puede ser una actividad de masticación relacionada con el sueño y con interrupciones breves durante el sueño.
Quizás no sabemos a ciencia cierta que lo causa, pero si sabemos factores de riesgo que empeoran al bruxismo:
- Estrés: El estrés o la ansiedad pueden llevar a rechinar y apretar los dientes. También la ira y la frustración.
- Edad: El bruxismo es común en niños pequeños, pero en general desaparece en la adultez.
- Tipo de personalidad: Tener una personalidad agresiva, competitiva o hiperactiva puede incrementar el riesgo de desarrollar bruxismo.
- Hábitos orales durante el día: Morderse los labios, la lengua o las mejillas, o masticar chicle por largos períodos puede aumentar el riesgo de bruxismo diurno.
- Medicamentos y otras sustancias: Fumar tabaco o consumir cafeína o alcohol puede aumentar el riesgo de bruxismo. Lo mismo ocurre con el uso de drogas recreativas o medicamentos no aprobados por un profesional de atención médica.
- Familiares con bruxismo: El bruxismo nocturno suele darse en familias. Si tienes bruxismo, es posible que otros miembros de tu familia también lo tengan o tengan antecedentes de padecerlo.
- Otras afecciones: El bruxismo puede estar relacionado con ciertas enfermedades de salud mental y enfermedades. Entre ellas, la enfermedad de Parkinson, la demencia, el trastorno por reflujo gastroesofágico, la epilepsia, los trastornos relacionados con el sueño, como la apnea del sueño, y el trastorno por déficit de atención e hiperactividad.
¿Qué hacer si tienes bruxismo?

Entonces, ¿que puedes hacer si crees que tiene bruxismo?
Lo más importante es detectarlo lo antes posible, ya que la mayoría de complicaciones afectan más a futuro.
¡Visitá ortodóntica! Contáctanos lo antes posible y asi te podremos ayudar con tu problema de bruxismo y varios.